047-411-4687
WEB予約 お問い合わせ
  • お問い合わせ
  • 部分矯正症例

    case

    部分矯正症例|津田沼・新津田沼の矯正歯科なら【津田沼さりな矯正歯科】

    部分矯正症例

    本ページに掲載している症例は、
    すべて患者様のご承諾をいただいております。

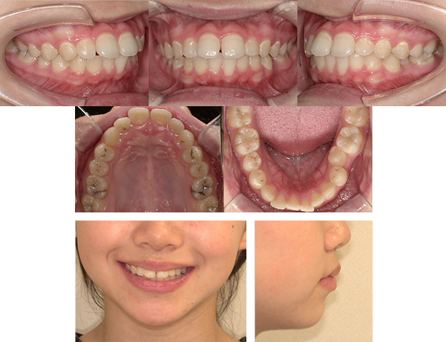
    30才女性 叢生 表側矯正 部分矯正 2025.5.21

    Before
    部分矯正Before
    After
    部分矯正After
    主訴 上の前歯の凸凹
    診断 叢生
    治療方法

    表側矯正(セラミックブラケット、ホワイトワイヤー)にて上顎前歯部のみの部分矯正を行いました。

    治療期間 7か月
    通院回数 10回
    治療費(税込) 407,000円
    リスクや副作用
    • 矯正装置の装着による違和感や口内炎を生じることがあります。
    • 歯の移動による不快感、痛みなどが出ることがあります。
    • 歯の動き方には個人差があるため、治療期間が予想より長期化することがあります。
    • 矯正治療中は装置の装着により、歯磨きが不十分な場合、虫歯や歯周病のリスクが高まります。
    • 歯を動かすことにより歯根吸収や歯肉退縮を生じることがあります。
    • 歯の移動により噛み合わせや歯並びが変化する可能性があり、咬みにくさや顎関節症状を生じることがあります。
    • 矯正治療後の保定治療が不十分な場合、後戻りを生じることがあります。

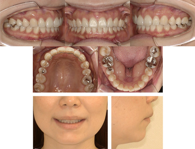
    14才女性 空隙歯列 表側矯正 部分矯正 2025.2.19

    Before
    部分矯正Before
    After
    部分矯正After
    主訴 歯と歯の間の隙間
    診断 空隙歯列
    治療方法

    上顎前歯部のみの部分矯正を表側矯正(プラスチックブラケット、ホワイトワイヤー)にて行いました。

    治療期間 6か月
    通院回数 8回
    治療費(税込) 368,500円
    リスクや副作用
    • 矯正装置の装着による違和感や口内炎を生じることがあります。
    • 歯の移動による不快感、痛みなどが出ることがあります。
    • 歯の動き方には個人差があるため、治療期間が予想より長期化することがあります。
    • 矯正治療中は装置の装着により、歯磨きが不十分な場合、虫歯や歯周病のリスクが高まります。
    • 歯を動かすことにより歯根吸収や歯肉退縮を生じることがあります。
    • 歯の移動により噛み合わせや歯並びが変化する可能性があり、咬みにくさや顎関節症状を生じることがあります。
    • 矯正治療後の保定治療が不十分な場合、後戻りを生じることがあります。

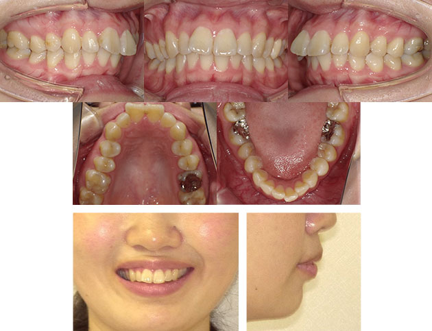
    13才女性 叢生 マウスピース矯正 部分矯正 2025.2.8

    Before
    部分矯正Before
    After
    部分矯正After
    主訴 歯並びの凸凹
    診断 叢生
    治療方法

    上顎前歯部のみの部分矯正をマウスピース矯正にて行いました。

    治療期間 1年
    通院回数 10回
    治療費(税込) 440,000円
    リスクや副作用
    • 矯正装置の装着による違和感や口内炎を生じることがあります。
    • 歯の移動による不快感、痛みなどが出ることがあります。
    • 歯の動き方には個人差があるため、治療期間が予想より長期化することがあります。
    • 矯正治療中は装置の装着により、歯磨きが不十分な場合、虫歯や歯周病のリスクが高まります。
    • 歯を動かすことにより歯根吸収や歯肉退縮を生じることがあります。
    • 歯の移動により噛み合わせや歯並びが変化する可能性があり、咬みにくさや顎関節症状を生じることがあります。
    • 矯正治療後の保定治療が不十分な場合、後戻りを生じることがあります。

    41才女性 叢生 マウスピース矯正 部分矯正 2024.11.5

    Before
    部分矯正Before
    After
    部分矯正After
    主訴 歯並びの凸凹
    診断 叢生
    治療方法

    下顎前歯部のみの部分矯正をマウスピース矯正(シェイプメモリーアライナー)にて行いました。

    治療期間 4か月
    通院回数 5回
    治療費(税込) 363,000円
    リスクや副作用
    • 矯正装置の装着による違和感や口内炎を生じることがあります。
    • 歯の移動による不快感、痛みなどが出ることがあります。
    • 歯の動き方には個人差があるため、治療期間が予想より長期化することがあります。
    • 矯正治療中は装置の装着により、歯磨きが不十分な場合、虫歯や歯周病のリスクが高まります。
    • 歯を動かすことにより歯根吸収や歯肉退縮を生じることがあります。
    • 歯の移動により噛み合わせや歯並びが変化する可能性があり、咬みにくさや顎関節症状を生じることがあります。
    • 矯正治療後の保定治療が不十分な場合、後戻りを生じることがあります。

    29才女性 空隙歯列 上顎前突 マウスピース矯正 部分矯正 2024.7.25

    Before
    部分矯正Before
    After
    部分矯正After
    主訴 歯と歯の間の隙間
    診断 空隙歯列、上顎前突
    治療方法

    上下顎前歯のみの部分矯正をマウスピース矯正にて行い空隙を閉鎖しました。

    治療期間 9か月
    通院回数 7回
    治療費(税込) 594,000円
    リスクや副作用
    • 矯正装置の装着による違和感や口内炎を生じることがあります。
    • 歯の移動による不快感、痛みなどが出ることがあります。
    • 歯の動き方には個人差があるため、治療期間が予想より長期化することがあります。
    • 矯正治療中は装置の装着により、歯磨きが不十分な場合、虫歯や歯周病のリスクが高まります。
    • 歯を動かすことにより歯根吸収や歯肉退縮を生じることがあります。
    • 歯の移動により噛み合わせや歯並びが変化する可能性があり、咬みにくさや顎関節症状を生じることがあります。
    • 矯正治療後の保定治療が不十分な場合、後戻りを生じることがあります。

    37才女性 上顎前突 空隙歯列 部分矯正 2024.7.19

    Before
    部分矯正Before
    After
    部分矯正After
    主訴 歯と歯の間の隙間、上の歯が出ている
    診断 空隙歯列、上顎前突
    治療方法

    上顎前歯のみの部分矯正を表側矯正(メタルブラケット、シルバーワイヤー)にて行い、正中離開を閉鎖しました。

    治療期間 8か月
    通院回数 11回
    治療費(税込) 341,000円
    リスクや副作用
    • 矯正装置の装着による違和感や口内炎を生じることがあります。
    • 歯の移動による不快感、痛みなどが出ることがあります。
    • 歯の動き方には個人差があるため、治療期間が予想より長期化することがあります。
    • 矯正治療中は装置の装着により、歯磨きが不十分な場合、虫歯や歯周病のリスクが高まります。
    • 歯を動かすことにより歯根吸収や歯肉退縮を生じることがあります。
    • 歯の移動により噛み合わせや歯並びが変化する可能性があり、咬みにくさや顎関節症状を生じることがあります。
    • 矯正治療後の保定治療が不十分な場合、後戻りを生じることがあります。

    29才女性 叢生 上顎前突 表側矯正 部分矯正 2024.7.19

    Before
    部分矯正Before
    After
    部分矯正After
    主訴 上の歯が出ている
    診断 叢生、上顎前突
    治療方法

    ストリッピング(歯の側面をわずかに削合)併用し、上顎前歯のみの部分矯正を表側矯正(メタルブラケット、シルバーワイヤー)にて行いました。

    治療期間 10か月
    通院回数 10回
    治療費(税込) 330,000円
    リスクや副作用
    • 矯正装置の装着による違和感や口内炎を生じることがあります。
    • 歯の移動による不快感、痛みなどが出ることがあります。
    • 歯の動き方には個人差があるため、治療期間が予想より長期化することがあります。
    • 矯正治療中は装置の装着により、歯磨きが不十分な場合、虫歯や歯周病のリスクが高まります。
    • 歯を動かすことにより歯根吸収や歯肉退縮を生じることがあります。
    • 歯の移動により噛み合わせや歯並びが変化する可能性があり、咬みにくさや顎関節症状を生じることがあります。
    • 矯正治療後の保定治療が不十分な場合、後戻りを生じることがあります。

    23才女性 叢生 上顎前突 マウスピース矯正 部分矯正 2023.7.15

    Before
    部分矯正Before
    After
    部分矯正After
    主訴 歯並びの凸凹、上の歯が出ている
    診断 叢生、上顎前突
    治療方法

    ストリッピング(歯の側面をわずかに削合)を併用し、上顎前歯のみの部分矯正をマウスピース矯正にて行いました。

    治療期間 7か月
    通院回数 6回
    治療費(税込) 412,500円
    リスクや副作用
    • 矯正装置の装着による違和感や口内炎を生じることがあります。
    • 歯の移動による不快感、痛みなどが出ることがあります。
    • 歯の動き方には個人差があるため、治療期間が予想より長期化することがあります。
    • 矯正治療中は装置の装着により、歯磨きが不十分な場合、虫歯や歯周病のリスクが高まります。
    • 歯を動かすことにより歯根吸収や歯肉退縮を生じることがあります。
    • 歯の移動により噛み合わせや歯並びが変化する可能性があり、咬みにくさや顎関節症状を生じることがあります。
    • 矯正治療後の保定治療が不十分な場合、後戻りを生じることがあります。