047-411-4687
WEB予約 お問い合わせ
  • お問い合わせ
  • 下顎前突症例

    case

    下顎前突症例|津田沼・新津田沼の矯正歯科なら【津田沼さりな矯正歯科】

    下顎前突症例

    本ページに掲載している症例は、
    すべて患者様のご承諾をいただいております。

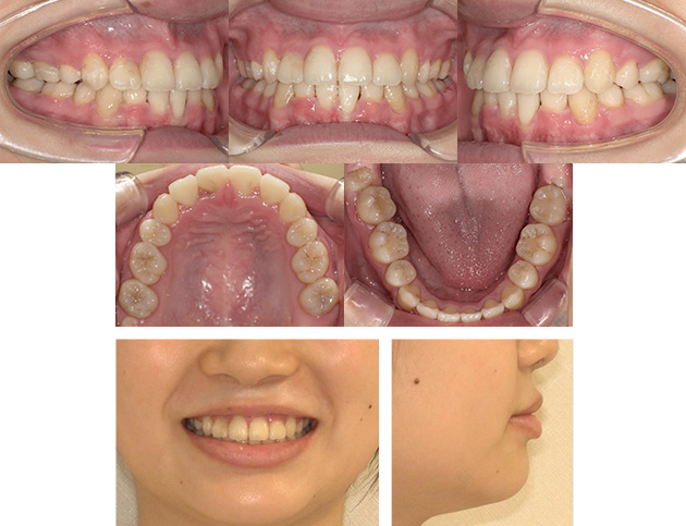
    23才女性 表側矯正(ワイヤー矯正) 2025.6.21

    Before
    下顎前突Before
    After
    下顎前突After
    主訴 下の歯が出ている
    診断 下顎前突
    治療方法

    表側矯正(上下 クリアブラケット、シルバーワイヤー)にて全顎の排列を行いました。顎間ゴムを併用し、下顎歯列の遠心移動をはかりました。

    治療期間 1年3か月
    通院回数 19回
    治療費(税込) 918,500円
    リスクや副作用
    • 矯正装置の装着による違和感や口内炎を生じることがあります。
    • 歯の移動による不快感、痛みなどが出ることがあります。
    • 歯の動き方には個人差があるため、治療期間が予想より長期化することがあります。
    • 矯正治療中は装置の装着により、歯磨きが不十分な場合、虫歯や歯周病のリスクが高まります。
    • 歯を動かすことにより歯根吸収や歯肉退縮を生じることがあります。
    • 歯の移動により噛み合わせや歯並びが変化する可能性があり、咬みにくさや顎関節症状を生じることがあります。
    • 矯正治療後の保定治療が不十分な場合、後戻りを生じることがあります。

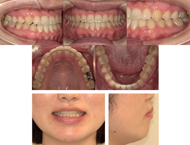
    20才女性 表側矯正(ワイヤー矯正) 2025.10.10

    Before
    下顎前突Before
    After
    下顎前突After
    主訴 反対咬合と健診で指摘を受けた
    診断 叢生、下顎前突
    治療方法

    上下顎両側第一小臼歯を抜歯し、表側矯正(上セラミックブラケット、ホワイトワイヤー、下プラスチックブラケット、シルバーワイヤー)にて全顎の排列を行いました。顎間ゴムを併用し、下顎前突の改善をはかりました。

    治療期間 1年8か月
    通院回数 27回
    治療費(税込) 1,012,500円
    リスクや副作用
    • 矯正装置の装着による違和感や口内炎を生じることがあります。
    • 歯の移動による不快感、痛みなどが出ることがあります。
    • 歯の動き方には個人差があるため、治療期間が予想より長期化することがあります。
    • 矯正治療中は装置の装着により、歯磨きが不十分な場合、虫歯や歯周病のリスクが高まります。
    • 歯を動かすことにより歯根吸収や歯肉退縮を生じることがあります。
    • 歯の移動により噛み合わせや歯並びが変化する可能性があり、咬みにくさや顎関節症状を生じることがあります。
    • 矯正治療後の保定治療が不十分な場合、後戻りを生じることがあります。

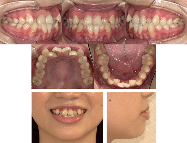
    19才女性 表側矯正(ワイヤー矯正) 2024.6.5

    Before
    下顎前突Before
    After
    下顎前突After
    主訴 歯並びの凸凹
    診断 叢生、開咬、反対咬合
    治療方法

    上顎右側第一小臼歯、上顎左側第二小臼歯、下顎右側第一小臼歯、下顎左側第二小臼歯を抜歯し、表側矯正(上下プラスチックブラケット、シルバーワイヤー)にて全顎の排列を行いました。顎間ゴムを併用し正中の一致をはかりました。

    治療期間 1年11か月
    通院回数 25回
    治療費(税込) 968,000円
    リスクや副作用
    • 矯正装置の装着による違和感や口内炎を生じることがあります。
    • 歯の移動による不快感、痛みなどが出ることがあります。
    • 歯の動き方には個人差があるため、治療期間が予想より長期化することがあります。
    • 矯正治療中は装置の装着により、歯磨きが不十分な場合、虫歯や歯周病のリスクが高まります。
    • 歯を動かすことにより歯根吸収や歯肉退縮を生じることがあります。
    • 歯の移動により噛み合わせや歯並びが変化する可能性があり、咬みにくさや顎関節症状を生じることがあります。
    • 矯正治療後の保定治療が不十分な場合、後戻りを生じることがあります。