047-411-4687
WEB予約 お問い合わせ
  • お問い合わせ
  • 上顎前突症例

    case

    上顎前突症例|津田沼・新津田沼の矯正歯科なら【津田沼さりな矯正歯科】

    上顎前突症例

    本ページに掲載している症例は、
    すべて患者様のご承諾をいただいております。

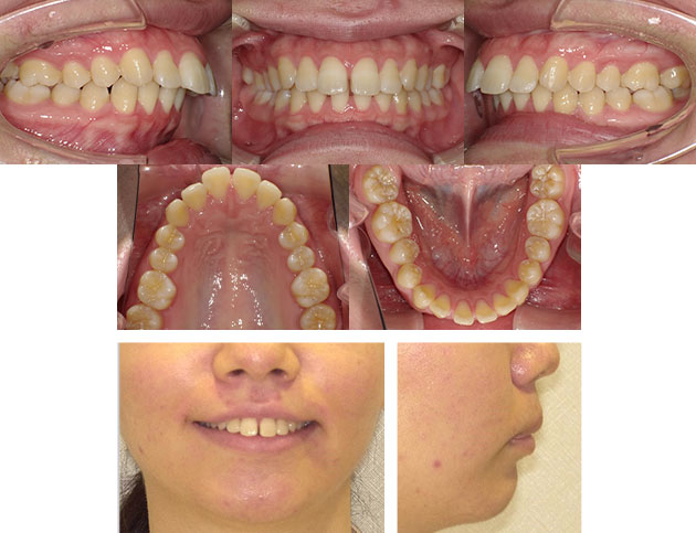
    31才女性 過蓋咬合 上顎前突 2025.5.22

    Before
    上顎前突Before
    After
    上顎前突After
    主訴 上の歯が出ている
    診断 過蓋咬合、上顎前突
    治療方法

    表側矯正(上下 メタルブラケット、シルバーワイヤー)にて全顎の排列を行いました。上顎両側頬側歯槽骨に矯正用アンカースクリューを併用し、上顎歯列の遠心移動をはかりました。

    治療期間 2年8か月
    通院回数 35回
    治療費(税込) 951,000円
    リスクや副作用
    • 矯正装置の装着による違和感や口内炎を生じることがあります。
    • 歯の移動による不快感、痛みなどが出ることがあります。
    • 歯の動き方には個人差があるため、治療期間が予想より長期化することがあります。
    • 矯正治療中は装置の装着により、歯磨きが不十分な場合、虫歯や歯周病のリスクが高まります。
    • 歯を動かすことにより歯根吸収や歯肉退縮を生じることがあります。
    • 歯の移動により噛み合わせや歯並びが変化する可能性があり、咬みにくさや顎関節症状を生じることがあります。
    • 矯正治療後の保定治療が不十分な場合、後戻りを生じることがあります。

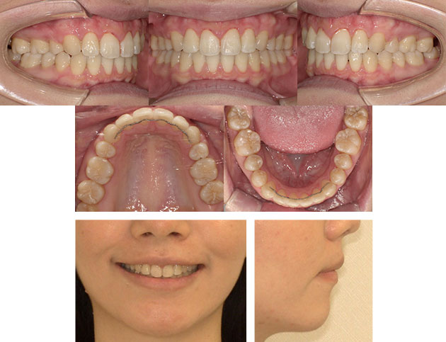
    24才男性 叢生 上顎前突 表側矯正 全体矯正 2025.4.16

    Before
    上顎前突Before
    After
    上顎前突After
    主訴 上の歯が出ている
    診断 叢生、上顎前突
    治療方法

    上顔両側第一小臼歯、下顎両側第二小臼歯を抜歯し、表側矯正(上下メタルブラケット、シルバーワイヤー)にて全顎矯正を行いました。

    治療期間 2年0か月
    通院回数 27回
    治療費(税込) 907,500円
    リスクや副作用
    • 矯正装置の装着による違和感や口内炎を生じることがあります。
    • 歯の移動による不快感、痛みなどが出ることがあります。
    • 歯の動き方には個人差があるため、治療期間が予想より長期化することがあります。
    • 矯正治療中は装置の装着により、歯磨きが不十分な場合、虫歯や歯周病のリスクが高まります。
    • 歯を動かすことにより歯根吸収や歯肉退縮を生じることがあります。
    • 歯の移動により噛み合わせや歯並びが変化する可能性があり、咬みにくさや顎関節症状を生じることがあります。
    • 矯正治療後の保定治療が不十分な場合、後戻りを生じることがあります。

    26才女性 空隙歯列 上顎前突 過蓋咬合 表側矯正 全体矯正 2025.4.5

    Before
    空隙歯列Before
    After
    空隙歯列After
    主訴 歯並びの凸凹、歯と歯の間の隙間、かみ合わせが深い、歯が小さい
    診断 空隙歯列、上顎前突、過蓋咬合
    治療方法

    表側矯正(上下セラミックブラケット、シルバーワイヤー)にて全顎矯正を行いました。上顎右側側切歯は矮小歯のため審美修復を行いました。

    治療期間 1年8か月
    通院回数 23回
    治療費(税込) 995,500円
    リスクや副作用
    • 矯正装置の装着による違和感や口内炎を生じることがあります。
    • 歯の移動による不快感、痛みなどが出ることがあります。
    • 歯の動き方には個人差があるため、治療期間が予想より長期化することがあります。
    • 矯正治療中は装置の装着により、歯磨きが不十分な場合、虫歯や歯周病のリスクが高まります。
    • 歯を動かすことにより歯根吸収や歯肉退縮を生じることがあります。
    • 歯の移動により噛み合わせや歯並びが変化する可能性があり、咬みにくさや顎関節症状を生じることがあります。
    • 矯正治療後の保定治療が不十分な場合、後戻りを生じることがあります。

    17才女性 叢生 上顎前突 過蓋咬合 表側矯正 全体矯正 2025.4.1

    Before
    叢生Before
    After
    叢生After
    主訴 歯並びの凸凹
    診断 叢生、上顎前突、過蓋咬合
    治療方法

    下顎歯列は緩徐拡大装置(バイヘリックス)にて拡大後、上顎両側第二小臼歯を抜歯し、表側矯正(上セラミックブラケット、ホワイトワイヤー、下プラスチックブラケット、シルバーワイヤー)にて全顎矯正を行いました。

    治療期間 1年6か月
    通院回数 22回
    治療費(税込) 1,017,500円
    リスクや副作用
    • 矯正装置の装着による違和感や口内炎を生じることがあります。
    • 歯の移動による不快感、痛みなどが出ることがあります。
    • 歯の動き方には個人差があるため、治療期間が予想より長期化することがあります。
    • 矯正治療中は装置の装着により、歯磨きが不十分な場合、虫歯や歯周病のリスクが高まります。
    • 歯を動かすことにより歯根吸収や歯肉退縮を生じることがあります。
    • 歯の移動により噛み合わせや歯並びが変化する可能性があり、咬みにくさや顎関節症状を生じることがあります。
    • 矯正治療後の保定治療が不十分な場合、後戻りを生じることがあります。

    21才女性 叢生 上顎前突 過蓋咬合 表側矯正 全体矯正 2025.3.19

    Before
    叢生Before
    After
    叢生After
    主訴 歯並びの凸凹、上の歯が出ている
    診断 叢生、上顎前突、過蓋咬合
    治療方法

    上顎両側第一小臼歯を抜歯し、表側矯正(上プラスチックブラケット、ホワイトワイヤー、下メタルブラケット、シルバーワイヤー)にて全顎矯正を行いました。

    治療期間 2年0か月
    通院回数 28回
    治療費(税込) 968,000円
    リスクや副作用
    • 矯正装置の装着による違和感や口内炎を生じることがあります。
    • 歯の移動による不快感、痛みなどが出ることがあります。
    • 歯の動き方には個人差があるため、治療期間が予想より長期化することがあります。
    • 矯正治療中は装置の装着により、歯磨きが不十分な場合、虫歯や歯周病のリスクが高まります。
    • 歯を動かすことにより歯根吸収や歯肉退縮を生じることがあります。
    • 歯の移動により噛み合わせや歯並びが変化する可能性があり、咬みにくさや顎関節症状を生じることがあります。
    • 矯正治療後の保定治療が不十分な場合、後戻りを生じることがあります。

    21才男性 叢生 上顎前突 表側矯正 全体矯正 2025.3.10

    Before
    叢生Before
    After
    叢生After
    主訴 上の歯が出ている
    診断 叢生、上顎前突
    治療方法

    上顎両側第二小臼歯を抜歯し、表側矯正(上下メタルブラケット、シルバーワイヤー)にて全顎矯正を行い、上顎前歯の唇側傾斜を改善しました。

    治療期間 1年3か月
    通院回数 20回
    治療費(税込) 869,500円
    リスクや副作用
    • 矯正装置の装着による違和感や口内炎を生じることがあります。
    • 歯の移動による不快感、痛みなどが出ることがあります。
    • 歯の動き方には個人差があるため、治療期間が予想より長期化することがあります。
    • 矯正治療中は装置の装着により、歯磨きが不十分な場合、虫歯や歯周病のリスクが高まります。
    • 歯を動かすことにより歯根吸収や歯肉退縮を生じることがあります。
    • 歯の移動により噛み合わせや歯並びが変化する可能性があり、咬みにくさや顎関節症状を生じることがあります。
    • 矯正治療後の保定治療が不十分な場合、後戻りを生じることがあります。

    19才男性 空隙歯列 上下顎前突 表側矯正 全体矯正 2025.3.7

    Before
    空隙歯列Before
    After
    空隙歯列After
    主訴 上の歯が出ている、歯と歯の間の隙間
    診断 空隙歯列、上下顎前突
    治療方法

    表側矯正(上下セラミックブラケット、ホワイトワイヤー)にて全顎の排列を行い空隙を閉鎖しました。

    治療期間 2年2か月
    通院回数 23回
    治療費(税込) 1,050,500円
    リスクや副作用
    • 矯正装置の装着による違和感や口内炎を生じることがあります。
    • 歯の移動による不快感、痛みなどが出ることがあります。
    • 歯の動き方には個人差があるため、治療期間が予想より長期化することがあります。
    • 矯正治療中は装置の装着により、歯磨きが不十分な場合、虫歯や歯周病のリスクが高まります。
    • 歯を動かすことにより歯根吸収や歯肉退縮を生じることがあります。
    • 歯の移動により噛み合わせや歯並びが変化する可能性があり、咬みにくさや顎関節症状を生じることがあります。
    • 矯正治療後の保定治療が不十分な場合、後戻りを生じることがあります。

    34才女性 叢生 上顎前突 表側矯正 全体矯正 2025.2.21

    Before
    叢生Before
    After
    叢生After
    主訴 上の歯が出ている、歯並びの凸凹
    診断 叢生、上顎前突
    治療方法

    上顎左側第一小大臼歯、下顎右側第二小臼歯、下顎左側側切歯が欠損しており、上顎右側第一小臼歯は保存不可のため抜歯しました。表側矯正(上下メタルブラケット、シルバーワイヤー)にて全顎の排列を行い、上顎右側第一大臼歯と上顎前歯部の審美補綴を行いました。

    治療期間 11か月
    通院回数 17回
    治療費(税込) 808,500円
    リスクや副作用
    • 矯正装置の装着による違和感や口内炎を生じることがあります。
    • 歯の移動による不快感、痛みなどが出ることがあります。
    • 歯の動き方には個人差があるため、治療期間が予想より長期化することがあります。
    • 矯正治療中は装置の装着により、歯磨きが不十分な場合、虫歯や歯周病のリスクが高まります。
    • 歯を動かすことにより歯根吸収や歯肉退縮を生じることがあります。
    • 歯の移動により噛み合わせや歯並びが変化する可能性があり、咬みにくさや顎関節症状を生じることがあります。
    • 矯正治療後の保定治療が不十分な場合、後戻りを生じることがあります。

    24才女性 叢生 開咬 上下顎前突 表側矯正 全体矯正 矯正用アンカースクリュー 2025.2.3

    Before
    叢生Before
    After
    叢生After
    主訴 上の歯が出ている
    診断 叢生、開咬、上下顎前突
    治療方法

    上下顎両側第一小臼歯を抜歯し、表側矯正(上下 プラスチックブラケット、シルバーワイヤー)にて全顎の排列を行いました。上顎両側頬側歯槽骨に矯正用アンカースクリューを併用し、上顎臼歯の圧下及び上顎前歯の後方移動をはかり前歯部開咬を改善しました。

    治療期間 1年11か月
    通院回数 27回
    治療費(税込) 957,000円
    リスクや副作用
    • 矯正装置の装着による違和感や口内炎を生じることがあります。
    • 歯の移動による不快感、痛みなどが出ることがあります。
    • 歯の動き方には個人差があるため、治療期間が予想より長期化することがあります。
    • 矯正治療中は装置の装着により、歯磨きが不十分な場合、虫歯や歯周病のリスクが高まります。
    • 歯を動かすことにより歯根吸収や歯肉退縮を生じることがあります。
    • 歯の移動により噛み合わせや歯並びが変化する可能性があり、咬みにくさや顎関節症状を生じることがあります。
    • 矯正治療後の保定治療が不十分な場合、後戻りを生じることがあります。

    17才女性 叢生 上下顎前突 裏側矯正 全体矯正 2024.12.18

    Before
    叢生Before
    After
    叢生After
    主訴 歯並びの凸凹、上の歯が出ている
    診断 叢生、上下顎前突
    治療方法

    上顎両側第一小臼歯、下顎両側第二小臼歯を抜歯し、ハーフリンガル(上リンガルブラケット、下セラミックブラケット、ホワイトワイヤー)にて全顎の排列を行いました。

    治療期間 2年4か月
    通院回数 35回
    治療費(税込) 913,000円
    リスクや副作用
    • 矯正装置の装着による違和感や口内炎を生じることがあります。
    • 歯の移動による不快感、痛みなどが出ることがあります。
    • 歯の動き方には個人差があるため、治療期間が予想より長期化することがあります。
    • 矯正治療中は装置の装着により、歯磨きが不十分な場合、虫歯や歯周病のリスクが高まります。
    • 歯を動かすことにより歯根吸収や歯肉退縮を生じることがあります。
    • 歯の移動により噛み合わせや歯並びが変化する可能性があり、咬みにくさや顎関節症状を生じることがあります。
    • 矯正治療後の保定治療が不十分な場合、後戻りを生じることがあります。

    25才女性 叢生 上顎前突 表側矯正 全体矯正 2024.8.16

    Before
    叢生Before
    After
    叢生After
    主訴 上の歯が出ている
    診断 叢生、上顎前突
    治療方法

    上下顎両側第三大臼歯(親知らず)を抜歯し、表側矯正(上下セラミックブラケット、ホワイトワイヤー)にて全顎の排列を行いました。上顎両側頬側歯槽骨に矯正用アンカースクリューを併用し、上顎前歯を後方へ移動しました。

    治療期間 1年5か月
    通院回数 18回
    治療費(税込) 913,000円
    リスクや副作用
    • 矯正装置の装着による違和感や口内炎を生じることがあります。
    • 歯の移動による不快感、痛みなどが出ることがあります。
    • 歯の動き方には個人差があるため、治療期間が予想より長期化することがあります。
    • 矯正治療中は装置の装着により、歯磨きが不十分な場合、虫歯や歯周病のリスクが高まります。
    • 歯を動かすことにより歯根吸収や歯肉退縮を生じることがあります。
    • 歯の移動により噛み合わせや歯並びが変化する可能性があり、咬みにくさや顎関節症状を生じることがあります。
    • 矯正治療後の保定治療が不十分な場合、後戻りを生じることがあります。

    27才男性 叢生 上顎前突 表側矯正 2024.7.10

    Before
    叢生Before
    After
    叢生After
    主訴 歯並びの凸凹、上の歯が出ている
    診断 叢生、上顎前突
    治療方法

    上顎右側側切歯が残根のため、上顎右側側切歯、上顎左側第一小臼歯、下顎両側第一小臼歯を抜歯し、表側矯正(上下プラスチックブラケット、シルバーワイヤー)にて全顎の排列を行いました。

    治療期間 2年8か月
    通院回数 26回
    治療費(税込) 940,500円
    リスクや副作用
    • 矯正装置の装着による違和感や口内炎を生じることがあります。
    • 歯の移動による不快感、痛みなどが出ることがあります。
    • 歯の動き方には個人差があるため、治療期間が予想より長期化することがあります。
    • 矯正治療中は装置の装着により、歯磨きが不十分な場合、虫歯や歯周病のリスクが高まります。
    • 歯を動かすことにより歯根吸収や歯肉退縮を生じることがあります。
    • 歯の移動により噛み合わせや歯並びが変化する可能性があり、咬みにくさや顎関節症状を生じることがあります。
    • 矯正治療後の保定治療が不十分な場合、後戻りを生じることがあります。

    23才女性 叢生 上顎前突 表側矯正 矯正用アンカースクリュー 2024.6.1

    Before
    上顎前突Before
    After
    上顎前突After
    主訴 上の歯が出ている
    診断 叢生、上顎前突
    治療方法

    上顎両側第一小臼歯を抜歯し、表側矯正(上下プラスチックブラケット、シルバーワイヤー)にて全顎の排列を行いました。上顎両側頬側歯槽骨に矯正用アンカースクリューを併用し、上顎前歯を大きく後方へ移動しました。

    治療期間 2年1か月
    通院回数 22回
    治療費(税込) 869,000円
    リスクや副作用
    • 矯正装置の装着による違和感や口内炎を生じることがあります。
    • 歯の移動による不快感、痛みなどが出ることがあります。
    • 歯の動き方には個人差があるため、治療期間が予想より長期化することがあります。
    • 矯正治療中は装置の装着により、歯磨きが不十分な場合、虫歯や歯周病のリスクが高まります。
    • 歯を動かすことにより歯根吸収や歯肉退縮を生じることがあります。
    • 歯の移動により噛み合わせや歯並びが変化する可能性があり、咬みにくさや顎関節症状を生じることがあります。
    • 矯正治療後の保定治療が不十分な場合、後戻りを生じることがあります。